Skip to main content
Morris Family Dentistry
Dr. Chad Morris
Morris Family Dentistry
Dr. Chad Morris
Request an Appointment
Like us on Facebook
Visit us on Yelp
Leave a Google Review
Instagram
(225) 654-3964
Morris Family Dentistry
Pay Online
Home
About
Our Team
Technology
Practice Photos
Services
View All
Family Dentistry
Cosmetic Dentistry
Dental Implants
Bone Grafting and Sinus Lifts
BOTOX® for Aesthetics and TMJ
TMJ and Bruxism Treatment
Clear Aligners
Full Smile Makeovers
Oral Surgery
Root Canal Treatment
Smile Gallery
Patient Info
View Patient Info
Testimonials
Financial
FAQs
Pay Online
Contact
Morris Family Dentistry
>
Smile Gallery
>
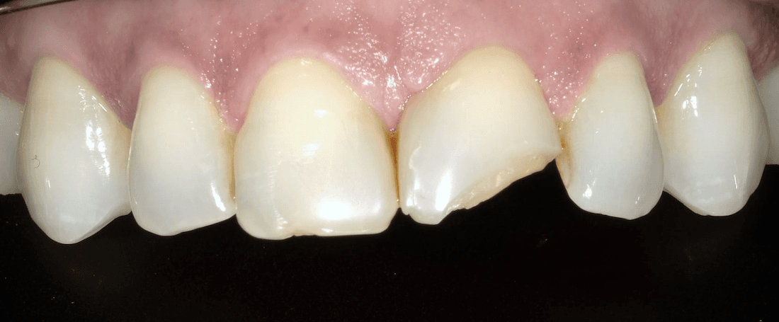
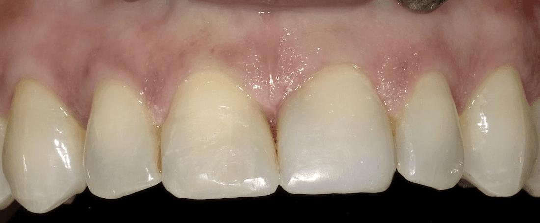
Composite Veneer Patient
Composite Veneer Patient
Return to Smile Gallery
Previous
Drag the arrows back and forth to view complete Before and After views
Still need an appointment?
Contact Us
OK!
×
×
Contact Us Today
Give Us A Call
Morris Family Dentistry -
(225) 654-3964
Send Us an Email
Request an Appointment
Contact Us
Ready to Schedule an Appointment?
Book Online
Have Questions? Contact Us:
Required Field
Your Name:
Phone:
Email:
Are you a new patient?:
Are you a?
New Patient
Current Patient
How would you like us to contact you?
Please choose
Email
Call
How did you hear about us?
Please choose
I'm an existing patient
Google/Bing
Mailer
Word of mouth
Social media
Other
Who Referred You?:
Appointment Preferences
Monday
Tuesday
Wednesday
Thursday
Your Message:
This site is protected by reCAPTCHA and the Google
Privacy Policy
and
Terms of Service
apply.
Sending...
×
This Patient's Experience
Loading Testimonial...
Loading Case...