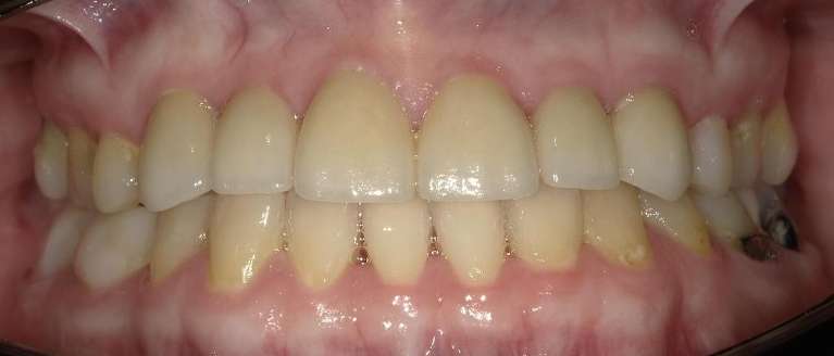
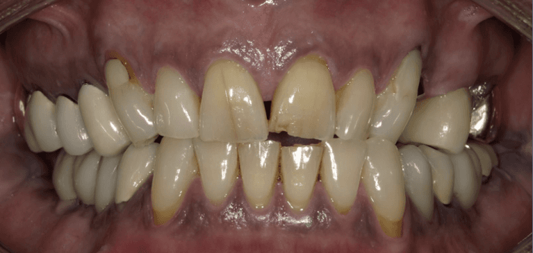
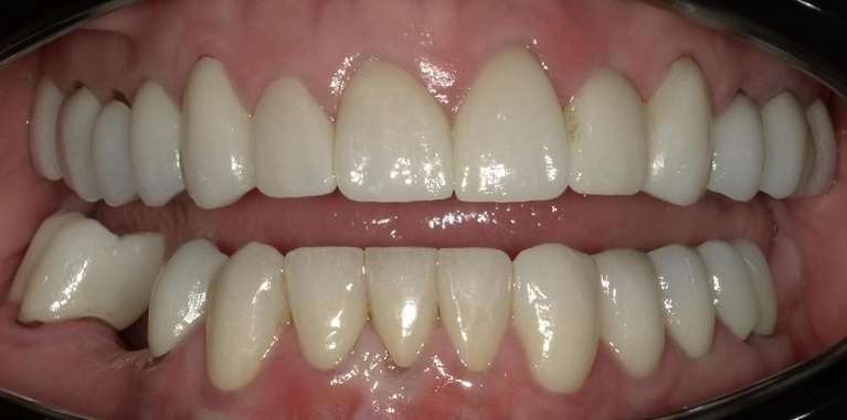
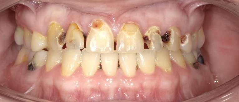
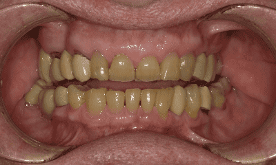
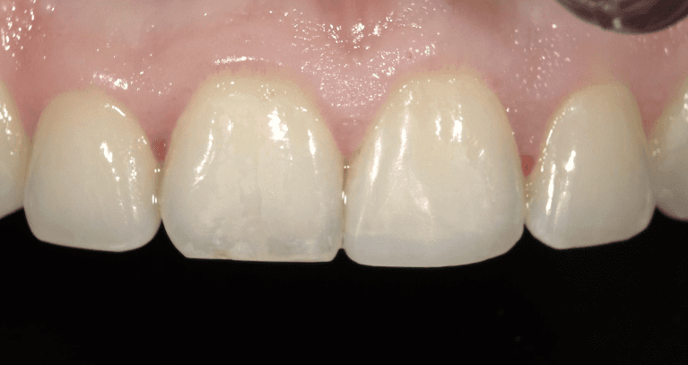
Smile Gallery

After decades of improving smiles, we still cherish the moments when a patient sees their transformation for the first time. Please browse through our gallery of before and after pictures of actual patients. Then call us to see what's possible for your smile!

Are You Ready to Book Your Next Dental Visit?
Smile Gallery Categories
Love, Love, Love Morris Dentistry!!

Best dentist in town!!! I have been seeing Dr. Chad for 20 years and recommend him to all my family and friends. His staff is so amazing! Everyone is so friendly and knowledgeable. Love, love, love Morris Dentistry!!

- Stacey